SAU 17 TUỔI CÓ CÒN CAO ĐƯỢC KHÔNG? CÁCH TĂNG THÊM 3-5CM THEO KHOA HỌC!
💬 Chị Mai (mẹ bé Đức, 17 tuổi) chia sẻ:
“Con trai tôi dậy thì sớm từ năm 12 tuổi, nhưng sau 15 tuổi hầu như không cao thêm. Hôm trước gặp con của cô hàng xóm chung cư, tôi bất ngờ vì thằng bé ấy vẫn còn cao thêm dù đã 17 tuổi. Tôi tự hỏi liệu con mình có còn cơ hội để tăng thêm chiều cao không?”
📌 Câu trả lời là: VẪN CÓ THỂ!
Nhiều người nghĩ rằng chiều cao sẽ ngừng phát triển hoàn toàn sau tuổi dậy thì, nhưng các nghiên cứu khoa học đã chỉ ra rằng, nếu biết cách tối ưu, có thể đạt thêm 3-5cm ngay cả sau 17 tuổi!
⏳ Vậy xương đã đóng chưa? Làm sao để kích thích chiều cao sau tuổi dậy thì? Hãy cùng tìm hiểu ngay!
Mục lục
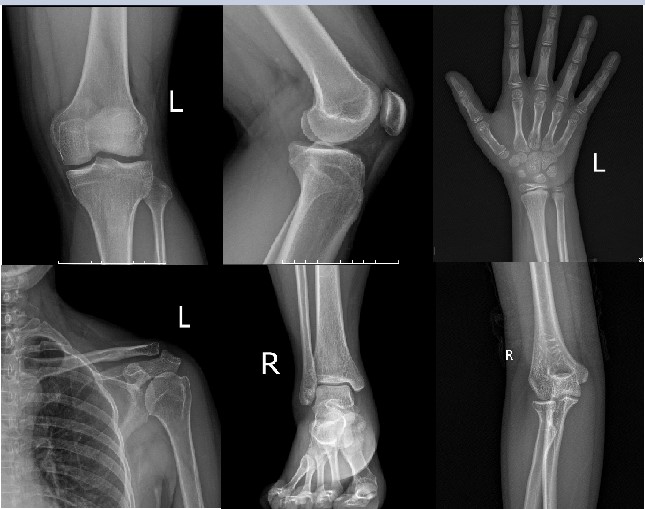
XƯƠNG ĐÃ ĐÓNG CHƯA? KIỂM TRA THẾ NÀO?
📌 Chiều cao tăng chủ yếu nhờ sụn tăng trưởng (epiphyseal plate), nằm ở đầu xương dài. Khi sụn tăng trưởng còn mở, xương vẫn có thể kéo dài. Khi sụn đóng lại hoàn toàn, xương sẽ không dài thêm nữa.
🔬 Làm sao biết xương đã đóng chưa?
✅ Chụp X-quang xương cổ tay, xương đầu gối hoặc xương chậu để kiểm tra.
✅ Nếu sụn tăng trưởng vẫn còn khe hở, vẫn có khả năng cao thêm.
✅ Nếu sụn đã khép hoàn toàn, việc tăng chiều cao sẽ khó khăn hơn nhưng không phải là không thể!
💡 Dù xương đã đóng, vẫn có cách cải thiện chiều cao nhờ tác động đến tư thế, độ dài cột sống và đĩa đệm! 🚀
CÁCH KHOA HỌC GIÚP TĂNG CHIỀU CAO SAU 17 TUỔI
📌 Dưới đây là 4 phương pháp tối ưu giúp tăng thêm 3-5cm ngay cả sau tuổi dậy thì!
KÉO DÃN XƯƠNG VÀ ĐĨA ĐỆM – TỐI ƯU CHIỀU CAO CỘT SỐNG
💡 Cột sống người có thể kéo dài thêm 1-3cm nếu tập luyện đúng cách!
📌 Bài tập kéo dài cột sống hiệu quả:
✅ Treo xà đơn – Giảm áp lực lên đốt sống, giúp cột sống giãn dài.
✅ Cobra Stretch (Rắn hổ mang) – Kéo dài cơ lưng, làm giãn đốt sống.
✅ Bài tập chạm ngón chân (Toe Touching Stretch) – Kéo dài chân, giảm căng cứng.
⚠️ Tập luyện mỗi ngày 15-20 phút giúp cải thiện chiều cao đáng kể!
CẢI THIỆN TƯ THẾ – TĂNG 2-3CM NHỜ CHỈNH SỬA CỘT SỐNG
📌 Rất nhiều người mất đi 2-3cm chiều cao do tư thế sai!
🔻 Tư thế xấu khiến cột sống cong, làm bạn trông thấp hơn thực tế.
✅ Tư thế đúng giúp tăng chiều cao:
✔️ Đứng thẳng, vai mở rộng, cằm giữ ngang.
✔️ Ngồi lưng thẳng, không gù, không nghiêng sang một bên.
✔️ Khi đi ngủ, nằm ngửa hoặc nghiêng nhẹ, tránh co người.
💡 Duy trì tư thế chuẩn có thể giúp bạn lấy lại 2-3cm “bị mất” do cột sống cong vẹo!
DINH DƯỠNG TỐI ƯU – TĂNG CƯỜNG CANXI VÀ KHOÁNG CHẤT
📌 Chế độ ăn uống khoa học giúp tăng cường sức khỏe xương, hỗ trợ phát triển chiều cao!
✅ Thực phẩm giúp tối ưu chiều cao:
🥛 Canxi (sữa, phô mai, sữa chua) – Xây dựng xương chắc khỏe.
🐟 Vitamin D (cá hồi, trứng, tắm nắng) – Hỗ trợ hấp thụ canxi.
🥩 Protein (thịt, đậu nành, trứng) – Thúc đẩy hormone tăng trưởng.
🥦 Kẽm, Magie (hạnh nhân, hạt bí, rau xanh) – Hỗ trợ tăng chiều cao.
🚨 Tránh thực phẩm: Đồ ăn nhanh, nước ngọt có gas, thực phẩm chế biến sẵn vì gây rối loạn hormone tăng trưởng.
Sử dụng thêm các supplement để tăng chiều cao tối ưu:
NGỦ SỚM & NGỦ ĐỦ GIẤC – TỐI ƯU HORMONE TĂNG TRƯỞNG (GH)
📌 Hormone tăng trưởng (GH) tiết ra nhiều nhất từ 10h đêm – 2h sáng, giúp kích thích chiều cao!
✅ Giấc ngủ tối ưu cho phát triển chiều cao:
✔️ Ngủ trước 10h đêm, đủ 8-10 tiếng/ngày.
✔️ Tránh dùng điện thoại trước khi ngủ, giảm ánh sáng xanh.
✔️ Tư thế ngủ: Nằm thẳng, tránh co người để cột sống giãn dài.
Xem thêm bài viết khác của Bác sĩ Chubby về giấc ngủ:
Giấc ngủ ảnh hưởng đến chiều cao của con như thế nào? Bố mẹ cần biết!
💡 Ngủ đủ giấc có thể giúp tăng thêm 1-2cm nhờ tối ưu hormone tăng trưởng!
TÓM LẠI: VẪN CÓ THỂ CAO THÊM 3-5CM SAU 17 TUỔI!
📌 Tuy chiều cao sau dậy thì tăng chậm hơn, nhưng nếu áp dụng đúng phương pháp, bạn vẫn có thể đạt thêm 3-5cm!
✔️ Kiểm tra sụn tăng trưởng xem đã đóng hoàn toàn chưa.
✔️ Tập bài kéo giãn cột sống để tối ưu chiều cao.
✔️ Cải thiện tư thế đứng, ngồi, ngủ để không mất chiều cao do cột sống cong.
✔️ Bổ sung canxi, vitamin D, protein để xương chắc khỏe.
✔️ Ngủ sớm và đủ giấc để hormone tăng trưởng hoạt động tối ưu.
Xem thêm video của bác sĩ Chubby để con cao nhanh hơn trong giai đoạn này:
💬 Bạn đã thử phương pháp nào trong số này chưa? Hãy chia sẻ kinh nghiệm của bạn dưới phần bình luận nhé! ⬇️💬
NGUỒN THAM KHẢO
-
Harvard Medical School (2023). The Science of Height Growth: Is It Possible After Puberty?
-
National Institutes of Health (NIH). Growth Hormone and Its Role in Bone Development.
-
American Academy of Pediatrics (AAP). How Sleep Affects Growth Hormone Production.
